로그인

  • 홈페이지
조회 수 0 추천 수 0 댓글 0
?

단축키

Prev이전 문서

Next다음 문서

크게 작게 위로 아래로 댓글로 가기 인쇄
?

단축키

Prev이전 문서

Next다음 문서

크게 작게 위로 아래로 댓글로 가기 인쇄

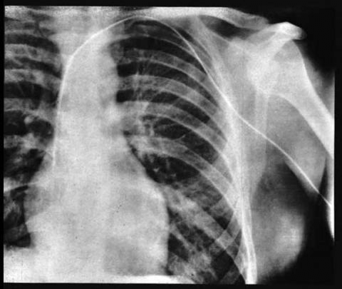
image.png 역대 노벨상 수상자중 또라이 원탑


1956년 노벨 생리의학상 수상자 Werner Forssmann

업적: 심장카테터법 개발

 

 

본인 팔 정맥에 관을 꼽고 그 관을 계속 집어넣어 심장에 도달한 공로로 노벨상을 받음.

목숨걸고 자기몸으로 인체실험한 또라이....

 

image.png 역대 노벨상 수상자중 또라이 원탑
포르스만이 직접 찍은 x레이 사진

팔에서 심장으로 가는 관이 보일거임

?

  1. 땅이 사라지는 나라들

    Date2025.06.03 By흥분의돔 Views0
    Read More
  2. 리얼 레프팅

    Date2025.06.03 By2000년대 Views0
    Read More
  3. (혐주의)코끼리 사체 파밍하기

    Date2025.06.03 ByARPSST Views0
    Read More
  4. 스압)아동노동을 멈추게 한 사진들

    Date2025.06.03 ByELASTIC Views0
    Read More
  5. 역대급 우주 미아 사건

    Date2025.06.03 By기반마럴 Views0
    Read More
  6. 스스로 움직여서 90도 회전한 건물

    Date2025.06.03 By위키피 Views0
    Read More
  7. 동물들과 교감하는 케빈

    Date2025.06.03 By아웃도얼 Views0
    Read More
  8. 유럽 최후의 황태자의 장례식

    Date2025.06.03 By동급생 Views0
    Read More
  9. 체포된 부부가 하는 말

    Date2025.06.03 By위키피 Views0
    Read More
  10. 맥도날드 로고에 숨겨진 비밀

    Date2025.06.03 By헤븐 Views0
    Read More
  11. 2014년 북한의 한 식당 메뉴판 사진 한 장

    Date2025.06.03 By로그 Views0
    Read More
  12. 2021년 세계맥주 평균가격 지도

    Date2025.06.03 By올리브영 Views0
    Read More
  13. 신기한 소켓볼

    Date2025.06.03 By소꿉친구 Views0
    Read More
  14. 휠체어 간지나게 타는 법

    Date2025.06.03 By인게이지먼트 Views0
    Read More
  15. 얼어죽은 새끼 펭귄

    Date2025.06.03 ByELASTIC Views0
    Read More
  16. 과거 한국의 모습

    Date2025.06.03 By집행위 Views0
    Read More
  17. [살인자 이야기] 22년만에 밝혀진 진실

    Date2025.06.03 By블랙하일 Views0
    Read More
  18. 대형 선박 옆으로 지나가면

    Date2025.06.03 By참쌀 Views0
    Read More
  19. 역대 노벨상 수상자중 또라이 원탑

    Date2025.06.03 By위키피 Views0
    Read More
  20. 마상시합의 위험성

    Date2025.06.03 By갤럭시32 Views0
    Read More
  21. "폭력 멈춰!"

    Date2025.06.03 By미네랑워러 Views0
    Read More
  22. 나사에서 올린 무서운 사진

    Date2025.06.03 By백밴드 Views0
    Read More
  23. ㄹㅇ혐오주의) 할로윈 분장녀

    Date2025.06.03 By스트럭 Views0
    Read More
  24. 보잉 비행기를 사막에서 추락시키기

    Date2025.06.03 By위키피 Views0
    Read More
  25. 에펠탑에서 바라본 풍경

    Date2025.06.03 By스트럭 Views0
    Read More
  26. 1950년대 서울 만리동 - 뒷 골목에서 놀고있는 아이들 사진

    Date2025.06.03 By베이글킬러 Views0
    Read More
  27. 인구감소에 영향받은 국립대

    Date2025.06.03 By올리브영 Views0
    Read More
  28. 사우디아라비아의 우박이 흐르는 강

    Date2025.06.03 By베이글킬러 Views0
    Read More
  29. 구름도 날려버리는 화산폭발의 위력

    Date2025.06.03 By알라뷰 Views0
    Read More
  30. 곰과 찍은 사진

    Date2025.06.03 ByNASA Views0
    Read More
  31. 교통경찰한테 걸린듯한 북한 택시기사

    Date2025.06.03 ByWINDZZ Views0
    Read More
  32. 약혐?) 곤충에 주사기로 주입하기

    Date2025.06.03 By새해 Views0
    Read More
  33. 합성이다 vs 진짜다

    Date2025.06.03 By미네랑워러 Views0
    Read More
  34. 1904년 항아리를 짊어지고 가는 지게꾼 + 채색버전

    Date2025.06.03 By미유키 Views0
    Read More
  35. 다람쥐 부부의 수면 캠

    Date2025.06.03 By위키피 Views0
    Read More
  36. 사고는 안일어났지만 호흡곤란은 왔다는 블랙박스

    Date2025.06.03 By안드레아스 Views0
    Read More
  37. 차단목에 차가 부딪힐때 모습

    Date2025.06.03 By드라이버 Views0
    Read More
  38. 눈내린 텍사스의 어제와 오늘

    Date2025.06.03 By코이즈미 Views0
    Read More
  39. 바이브레이터의 위력

    Date2025.06.03 By집합점 Views0
    Read More
  40. 핀란드의 겨울온천

    Date2025.06.03 By로봇 Views0
    Read More
Board Pagination Prev 1 ... 63 64 65 66 67 68 69 70 71 72 ... 162 Next
/ 162